U IV Dental Studiju verujemo da zdrav i lep osmeh počinje poverenjem. Spoj vrhunske stručnosti, savremene tehnologije i pažljivog pristupa omogućava nam da svakom pacijentu pružimo sigurnost, komfor i dugotrajne rezultate. Naš cilj je da svaki dolazak kod stomatologa bude prijatno iskustvo.
U prijatnom i profesionalnom ambijentu, posvećeno brinemo o zdravlju vaših zuba i kreiranju osmeha koji odiše samopouzdanjem. Vaš osmeh je naša najveća preporuka.

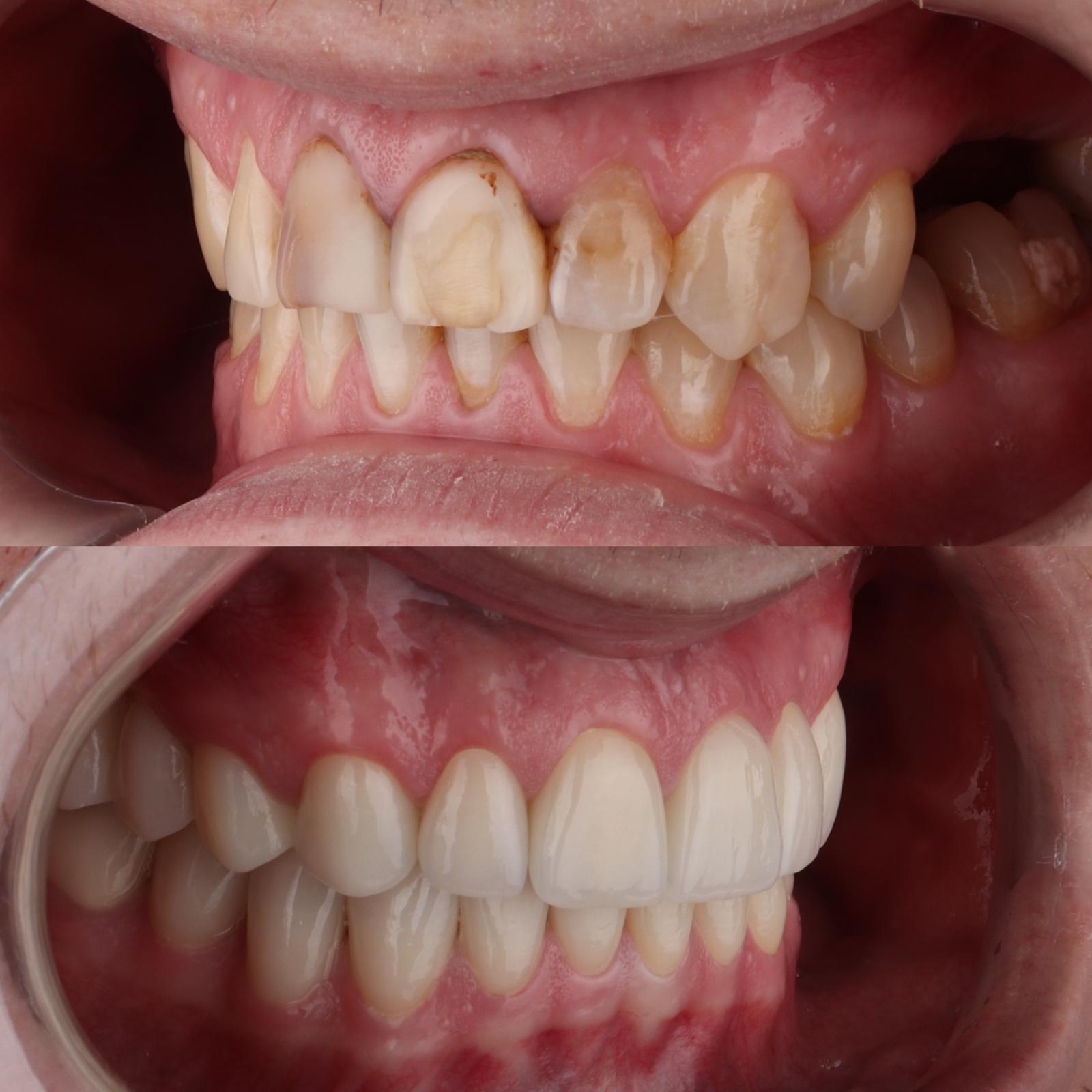
U oblasti protetike izrađujemo krunice, mostove i proteze koje ispunjavaju visoke estetske i funkcionalne standarde. Svaka nadoknada planira se pažljivo i individualno, sa ciljem postizanja prirodnog izgleda i dugotrajne stabilnosti.

Zubni implanti predstavljaju savremeno i pouzdano rešenje za nadoknadu izgubljenih zuba. U IV Dental Studiju koristimo proverene implantološke sisteme i precizne protokole rada, uz bezbedan postupak i pažljivo praćenje pacijenta tokom oporavka.

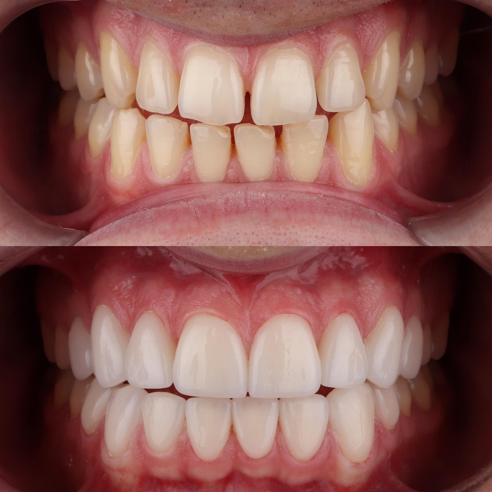
Unapređenje osmeha ne mora biti agresivno. Nudimo usluge izbeljivanja zuba, kompozitnih faseta i estetskih korekcija oblika i boje zuba, sa ciljem postizanja prirodne, skladne i negovane estetike.

Za ispravljanje nepravilnosti položaja zuba primenjujemo fiksne ortodontske aparate i savremene providne alajnere. Terapija se planira individualno, uz fokus na komfor, funkcionalnost i estetiku tokom čitavog procesa.

Hollywood smile je estetska transformacija osmeha koja kombinuje fasete, krunice i druge savremene tretmane kako bi se postigao savršen oblik, boja i proporcija zuba. Terapija se planira individualno, uz fokus na prirodan izgled, harmoniju lica i dugotrajan estetski rezultat.
Posebnu pažnju posvećujemo radu sa decom, uz strpljiv i nežan pristup koji pomaže u izgradnji poverenja. U prijatnoj atmosferi, mali pacijenti razvijaju pozitivan odnos prema stomatološkim pregledima i brizi o oralnom zdravlju.
U mirnom delu Dorćola nalazi se IV Dental Studio – ordinacija u kojoj se stručnost i savremena stomatologija susreću sa toplim i prijatnim ambijentom. Cilj nam je da se svaki pacijent oseća sigurno, informisano i opušteno, bez pritiska i nepotrebne žurbe.
Zovem se Ivana Lukić i doktor sam stomatologije, trenutno na specijalizaciji iz parodontologije, sa više od osam godina iskustva u radu sa pacijentima.
U svom radu verujem u blag pristup, strpljenje i iskrenu komunikaciju. Smatram da su poverenje i osećaj sigurnosti temelj svakog kvalitetnog tretmana, jer samo u opuštenoj atmosferi možemo postići najbolje rezultate.
Pola svog života provela sam u Rusiji, odakle osim tečnog govora jezika nosim i topliji, pažljiviji odnos prema ljudima. IV Dental Studio za mene nije samo ordinacija, već prostor u kojem sa posvećenošću i ljubavlju negujem i stvaram osmehe koji traju.
Spojite vrhunsku stomatološku uslugu i prijatan boravak u Beogradu. U IV Dental Studiju pružamo savremene terapije po konkurentnim cenama, uz visok standard kvaliteta i individualan pristup svakom pacijentu.
Dolaskom kod nas ostvarujete značajnu uštedu u odnosu na cene u inostranstvu, bez kompromisa kada je u pitanju stručnost, materijali i savremena oprema. Pomažemo vam u organizaciji termina kako bi vaš boravak bio efikasan, udoban i bez stresa.
Od preventivnih pregleda do kompletnih estetskih transformacija osmeha – kod nas ste u sigurnim rukama.
Vaš termin možete zakazati brzo i jednostavno – putem SMS poruke, Viber-a ili WhatsApp-a, ili putem kontakt forme na sajtu. Popunite osnovne podatke i ostavite željeni termin, a mi ćemo vas kontaktirati radi potvrde.
Planirajte svoju posetu u skladu sa radnim vremenom i prepustite brigu o vašem osmehu nama.

Ukoliko želite konsultaciju ili zakazivanje pregleda, popunite kontakt formu i dozvolite nam da se pobrinemo za vaš osmeh.
+381/69-444-89-02 drilukic@gmail.com